Restorative Dentistry in Marietta, GA

Trusted Care for Every Stage of Smile Repair

  • Full range of solutions from fillings to full-mouth rehab
  • Three sedation options for a relaxing procedure
  • 800+ 5-star Google reviews from happy patients
  • Free consultations and flexible payment options

From a Minor Fix to Full Smile Rebuild Insights from Dr. Travis Watson

Whether you’re dealing with a single damaged tooth or need full mouth reconstruction, Dr. Travis Watson and his team take the time to explore every option and determine the best path forward for your case. Our goal is to help every patient regain function and preserve their oral health into the future.

The Power of a Restored Smile

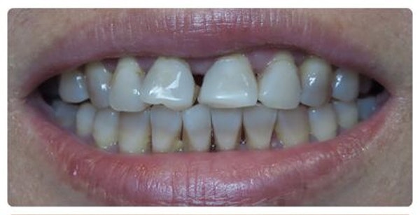
Marietta patient before restorative dentistry
Before This Marietta woman came to us with extensive damage, missing teeth, and long-standing oral health concerns.
Marietta patient after restorative dentistry
After Through careful planning and full-scope restorative treatment, our dentists helped rebuild her smile from the ground up. 

At Atlanta West Dentistry, we’ve seen firsthand how transformative this kind of care can be. Whether you need to repair a single tooth or completely rebuild your smile, we can help you take the first step.

“Fantastic.” High Praise for Our Practice

"Dr. Watson and the team were fantastic. They explained everything clearly and made sure I was comfortable throughout the whole process. I usually get pretty anxious about dental visits, but they made it much easier for me. I definitely recommend Atlanta West Dentistry if you’re looking for a new dentist." — Christen, 5-Star Review

Technology That Supports Better Outcomes

Our investment in advanced dental technology helps make every restorative dentistry treatment at our Marietta office more precise, efficient, and comfortable. From your very first exam to the final stages of care, we use tools that improve accuracy and ease.

  • Laser dentistry for gentler gum treatments
  • The Wand® system for pain-free numbing
  • CEREC® Primescan for fast, no-mess digital impressions
  • Visible sterilization system for added peace of mind

Our technology is just one more way we make your experience and your results better.

collage of our dentists, team, and technology

We Look Beyond the Tooth to Understand the Whole Problem

Lasting dental work starts with understanding why problems happen in the first place. That’s why every exam at Atlanta West Dentistry includes a full evaluation to check for concerns like gum disease, tooth decay, and bite misalignment. These conditions don’t just affect how your smile feels today — they directly impact the long-term success of any dental treatment.

We take time to understand your full health picture and build treatment plans that support both your smile and your overall wellness. During your exam, we’ll look at:

  • Gum health: Signs of infection, inflammation, or bone loss
  • Tooth decay: Cavities and tooth infections
  • Failing restorations: Broken or loose crowns, bridges, and dentures
  • Bite function: Wear patterns, jaw pain, or alignment issues

This comprehensive approach helps us treat the core of the issue, not just the symptoms, and deliver lasting results.

Making Restorative Care Affordable

We believe cost should never stand in the way of a healthy smile. That’s why our Marietta practice offers several ways to make restorative treatment more accessible.

  • Free consultations to help you understand your options before committing
  • In-house and third-party financing, including CareCredit®, Sunbit, and Proceed
  • Most insurance plans accepted, with a team ready to help you maximize benefits

Before you commit to treatment, we will provide you with a personalized cost estimate. We can also explain our payment plans and find one that fits your budget.

 

Brian’s Story: Confidence Restored Through Full Mouth Reconstruction

After years of dealing with missing teeth, Brian came to our team in Marietta for full mouth reconstruction. With pain-free visits, expert guidance, and lasting results, he says his restored smile has boosted his confidence and his overall health.

“Really top-notch service.”

“Everyone here has the BEST customer service skills - follow up calls, personalized music, hot/cold drinks at request, I mean really top notch service. I don't feel like a bother - I feel like a guest. One of the best things on top of everything else truly is their transparency and communication. It is so helpful to actually understand what the plan is - build it together and feel good about it…New life-long client for sure!” — Bonnie, 5-Star Review

Atlanta West Dentistry Office

Atlanta West Dentistry is led by Dr. Travis Watson and Dr. Cameron B. Watson. Our patient-centered dental practice is dedicated to providing comprehensive and advanced dentistry in a comfortable and anxiety-free environment. Our professional affiliations include:

  • The American Dental Association
  • The Georgia Dental Association
  • The Academy of General Dentistry
  • The Dental Organization for Conscious Sedation
  • The American Academy of Implant Dentistry
  • The International College of Dentists
  • The American Orthodontic Society

Request an appointment today by contacting us online or by calling us at our office in Marietta, GA: (770) 941-6979.

Contact Us Today

Rate, Review & Explore

Social Accounts Sprite